If you’ve recently noticed that your smile doesn’t look like it once did, it may be that you are experiencing issues with your teeth shifting. It’s not natural for your pearly whites to move out of place, so if you begin to notice even a subtle change, it’s time to seek the help of a professional sooner rather than later. But what causes it to happen in the first place? In this article, we’ll look at the different reasons your teeth may be moving and what can be done to correct them.
Shifting Teeth: What Causes It To Happen?
As you age, you will notice that there are different changes that occur throughout your body; however, your teeth should remain in the same place. If they do not, there is a good chance the culprit is one of the following:
- Bruxism – When grinding your teeth, it causes wear and tear and can lead to unnatural movements and changes in your bite.
- Gum disease – If bacteria attack your soft tissues, it can damage your bone and teeth, causing them to move out of alignment, especially if they become loose and fall out.
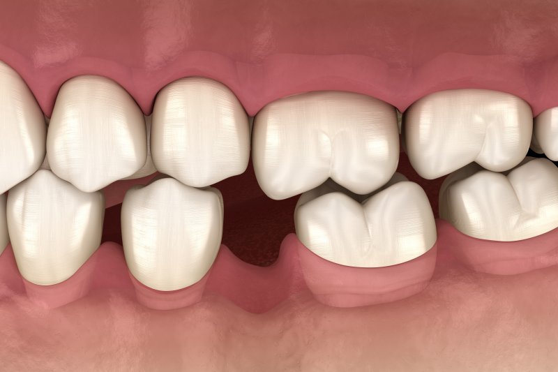
- Tooth loss – Anytime you lose a permanent tooth, nearby healthy teeth will attempt to shift and cover the gap left behind.
- Jawbone changes – As you age, your jawbone structure will change, which can cause teeth to move out of their original position and cause misalignment.
Other common causes include tongue thrust, a reduction of bone density, various dental procedures, and even the aging process.
Treatment Options Designed to Correct Your Teeth
To correct shifting teeth and not only ensure a healthier smile but also a more pleasing aesthetic, your dentist can recommend several different treatment options, some of which include:
- Veneers – These thin sheaths of porcelain are commonly used to hide imperfections. If shifting teeth is a minor problem, it may be possible for your cosmetic dentist to create customized veneers that will fit over the surface of your teeth and create a more even and balanced aesthetic. These coverings are thin and look just like natural tooth enamel, so you don’t have to worry about anyone thinking your smile appears “fake.” Also, with proper care, you can expect your veneers to last a decade or more.
- ClearCorrect – Similar to other clear aligner systems, ClearCorrect consists of flexible, clear trays that are customized to your smile. When worn for 20-22 hours each day, gentle pressure is applied to your teeth to move them in the right direction for better alignment. You are expected to wear each set of aligners for 3 weeks before swapping them out for a new set in the series. Over time, you will notice a dramatic difference in how your smile looks and feels.
Misaligned teeth no longer have to be a reality. With the help of your dentist, you can correct the problem and once again see a straighter, more perfectly aligned smile that offers improved oral health and aesthetics.
About the Practice
At Sommers Family Dentistry, our team of professionals is here to repair, rebuild, and restore smiles using a wide array of comprehensive services. If your teeth have shifted over the years and are causing you pain or embarrassment, our team can recommend veneers or ClearCorrect to help you see a beautiful, more confident smile once again. Contact us at (419) 668-3606 to learn what we can do to put your teeth back into proper alignment.
